10年保証
/
ハル本町歯科 大阪
大阪府大阪市中央区久太郎町4-1-15
南御堂ビル 南館401
ご予約・お問い合わせ:06-6258-0770
トップページ
審美歯科
矯正歯科
インプラント
医院案内
院長紹介
アクセス
真心の10年保証
当院はセラミッククラウン、差し歯、インプラント、入れ歯に10年保証をつけております
なぜ10年なのか。
それは、当院で診させて頂いた患者様は全員家族のような思いで治療し守りたいと考えているからです。
この想いが10年保証という形であなたに届きますように
治療内容
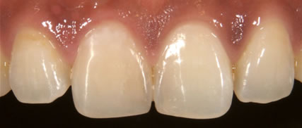
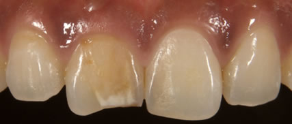
前歯の形態と色調の改善
治療期間・回数
1回
治療費用
ダイレクトボンディング1本 30,000円
主なリスク、副作用
噛み合わせによってできない場合があります。
インストラクターとして美しく長持ちの秘訣を教えています!
インストラクターとして歯科の知識や技術を教え歯科界に貢献しております。多くの先生から相談を受け様々な症例に対応することができます。スタディーグループでの指導、学会での発表など、様々な活動を通して歯科界に貢献しております。
保証内容と保証条件について
保証対象治療はすべての治療に対してではありませんが、皆さんがよく治療される
セラミッククラウン、差し歯、インプラント治療、入れ歯
において保証をつけております。 治療の診断、各工程に万全を期していますが、生体反応の中で機能するものでありかぶせ物は日々変化する過酷な条件下(細菌、咬む力等)にあり、やはり何かの拍子に不具合が生じる場合があります。その時に保証があれば安心して治療を受けることができるのではないでしょうか?その不安が少しでも軽減してもらえればと思い保証をつけさせて頂きました。
保証対象物
セラミッククラウン
差し歯
インプラントの人工歯根とセラミック(上部構造)
入れ歯
■保証にあたり
□
保証内容は、当院で治療される場合にかぎり保証致します。
転院により治療され場合は保証致しかねますのでご了承下さい。
□
ナイトガードが必要と判断された方は、必ずご使用下さい。
□
メインテナンス・検診・管理ができなかった場合は保証されません。
(詳しくはスタッフまでおたずねください)
デンタルオフィスハルの願い
末長く、大切な人との時間を楽しく過ごして頂きたい。その思いが10年保証という形であなたに届きますように全力で治療させて頂きます。
トップページ
医院案内・診療時間
院長紹介
アクセス
└
本町より
└
心斎橋より
└
お車でのアクセス
お問い合わせ
審美歯科
セラミック
差し歯
インプラント
入れ歯
自然な入れ歯
入れ歯の悩み相談
矯正歯科
歯を抜かない矯正
インビザライン
ホワイトニング
歯のクリーニング
ボトックス注射
ZONE PIECE
見た目が良い入れ歯が欲しい
睡眠時無呼吸症候群
入れ歯安定剤について
10年保証
フォトギャラリー
求人情報
└
歯科衛生士求人
└
歯科助手求人
└
受付求人
リンク
ハル本町歯科 大阪
大阪府大阪市中央区久太郎町4-1-15
南御堂ビル 南館401
ご予約・お問い合わせ:06-6258-0770
(C) ハル本町歯科.