インプラント
/
ハル本町歯科 大阪
大阪府大阪市中央区久太郎町4-1-15
南御堂ビル 南館401
ご予約・お問い合わせ:06-6258-0770
トップページ
審美歯科
矯正歯科
インプラント
医院案内
院長紹介
アクセス
インプラント
『長期的な安心インプラント治療』
『インプラントは一生もちますか?』
インプラントをされる患者様はこの質問をされる方が大勢いらっしゃいます。当然ですよね。高価な自費診療なので、どれだけ長持ちするのか気になるのは。ではインプラントの寿命はどのぐらいなのでしょうか?
論文にもよりますが、一般的にインプラント10年生存率は90%を超えております。しかし、裏を返せば、10%弱は残念ながら、インプラントが抜けてしまっているともいえます。すなわち10人に1人がインプラントを失っているのです。自分がその一人にならないとはかぎりません。
すなわち、インプラント治療はすれば終わりではなく、治療後も定期的なメンテナンスが必要です。歯周病とかみ合わせが長持ちの秘訣です。
大切な人との楽しいお食事の時間、旅行先でのご当地の美味しい食べ物、春夏秋冬の旬の食材など、なんでも美味しく食べて末長く幸せに過ごせたらこんな幸せは他にありません。このような幸せのお手伝いができれば嬉しいです。
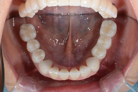
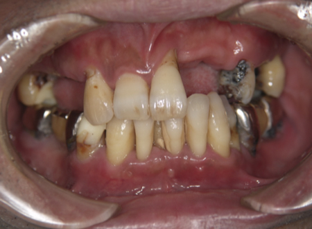
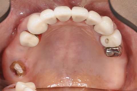
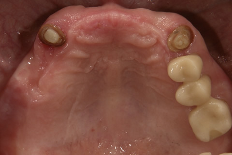
症例 歯を失った奥歯にインプラント治療をした症例
治療後
治療前
食事が楽しくなるインプラント治療
当院の院長は10年以上インプラント治療に従事し様々な症例を通して皆様の喜びのお手伝いをさせて頂いております。その喜びを少しでも多くの方に感じて頂けるよう強く願い日々治療をさせて頂いております。
インプラントでお困りの方がおられましたら、あなたに合った治療方法を説明させて頂きます。また他院では難しいと言われた方でも当院の技術によって場合によってはインプラントをできる場合もございます。
インプラントのセカンドオピニオンも行なっておりますので一度、ご相談ください。
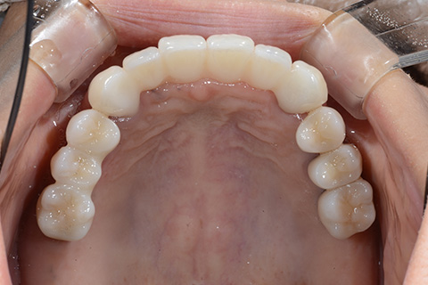
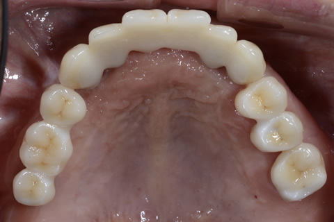
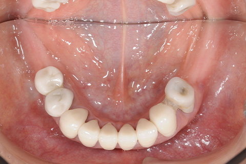
症例 部分入れ歯をインプラントにした症例
治療前
治療後
インストラクター(講師)として歯科界に貢献しております!
当院では、現代歯科における最高レベルのインプラント治療を提供しております。
院長は歯科界で有名なスタディーグループSJCDのもとで研鑽を積み、前職では本多歯科医院で副院長を勤め、様々症例を経験してきました。今はインストラクターとして歯科界に指導的立場で貢献しております。
また学会等でも症例発表を数多くし、自己研鑽を積み、多くの歯科医師の見本となっています。
インプラント治療がどうしても怖いかたは入れ歯という方法もあります。
どうしても手術が怖くてインプラント手術はできない、もしくはインプラントは絶対にしたくないと言われる方にも噛める方法はあります。私はインプラントが怖いかたへ無理にインプラントを勧めません。
見た目が良い入れ歯、噛める入れ歯もあることを知って頂きたい。入れ歯の難しいところは噛む力をコントロールし、歯と歯茎への力の分散をどのようにするかが重要になってきます。それには歯科医師の技量はもちろん、技工士の腕も非常に重要になってきます。私は噛み合わせを教える指導者でもあり、自信をもって入れ歯も作製することができます。
インプラントではなく、入れ歯で噛みたい人は一度無料カウンセリングに来られてみてはいかがでしょうか?
入れ歯のページへ
自然な入れ歯のページへ
インプラントのメリット&デメリット
メリット
1.
残った歯を削らない
2.
天然の歯のように綺麗
3.
自分の歯のように噛める
4.
残った歯の負担を減らし守る
デメリット
1.
高価である
2.
手術が必要である
3.
骨がない場合作る必要がある(GBR)
4.
歯周病に弱い(インプラントは虫歯になりませんが歯槽膿漏に弱いです)
5.
全身疾患(高血圧や糖尿病)が重度の方はできない場合がある
人によっては、インプラント治療ができない場合もございますので、一度、ご相談ください。そのときは入れ歯という選択肢があります。
あなたにぴったりの治療を提案させて頂きます。
症例1
歯がグラグラしている。
噛めないとのことで来院。
入れ歯でない形で食事がしたいという希望もあり、骨や歯茎を再生しインプラント治療に。
今ではインプラントにも慣れてきて何でも美味しく食べれる様にと。
とても嬉しく思います。
症例2
奥歯でしっかり噛みたいとの事で来院。
奥歯がなく前歯に負担がかかり、前歯の状態が悪化してました。
インプラントは怖いとの事でしたが、奥歯で快適にしっかり噛みたい希望があり、インプラント治療を選択されました。
治療は滞りなく進み、インプラント治療に対する怖さもなくなり、うれしく思います。
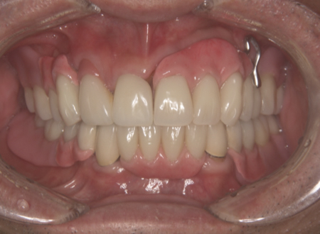
治療前
治療後
値段
インプラント上部構造
150,000円 (税抜)
本体
320,000円 (税抜)
インプラントに関係するその他の治療
ガイド使用
60,000円 (税抜)
GBR(骨を足す)
50,000円 (税抜)
〜
100,000円 (税抜)
ソケットリフト(骨を足す)
50,000円 (税抜)
サイナスリフト(骨を足す)
150,000円 (税抜)
ブロック骨移植(骨移植)
100,000円 (税抜)
麻酔鎮静一式(寝ながら手術が受けれる)
150,000円 (税抜)
ブロック骨移植とは?
ご自身の骨を骨が少ない部位に移植します。ご自身の骨を使用するのでなじみが良いです。
※主なリスク、副作用:治療後はしっかりとメインテナンスを行わないと歯周病になる可能性があります。
各種クレジットカードでの分割払いも承っています。
また、お手続き簡単で金利の安いデンタルローンもご利用いただけます。
※詳細はお問い合わせください
大阪市中央区
久太郎町4-1-15
南御堂ビル 南館401
ハル本町歯科 大阪
トップページ
医院案内・診療時間
院長紹介
アクセス
└
本町より
└
心斎橋より
└
お車でのアクセス
お問い合わせ
審美歯科
セラミック
差し歯
インプラント
入れ歯
自然な入れ歯
入れ歯の悩み相談
矯正歯科
歯を抜かない矯正
インビザライン
ホワイトニング
歯のクリーニング
ボトックス注射
ZONE PIECE
見た目が良い入れ歯が欲しい
睡眠時無呼吸症候群
入れ歯安定剤について
10年保証
フォトギャラリー
求人情報
└
歯科衛生士求人
└
歯科助手求人
└
受付求人
リンク
トップページ
医院案内・診療時間
院長紹介
アクセス
└
本町より
└
心斎橋より
└
お車でのアクセス
お問い合わせ
審美歯科
セラミック
差し歯
インプラント
入れ歯
自然な入れ歯
入れ歯の悩み相談
矯正歯科
歯を抜かない矯正
インビザライン
ホワイトニング
歯のクリーニング
ボトックス注射
ZONE PIECE
見た目が良い入れ歯が欲しい
睡眠時無呼吸症候群
入れ歯安定剤について
10年保証
フォトギャラリー
求人情報
└
歯科衛生士求人
└
歯科助手求人
└
受付求人
リンク
ハル本町歯科 大阪
大阪府大阪市中央区久太郎町4-1-15
南御堂ビル 南館401
ご予約・お問い合わせ:06-6258-0770
(C) ハル本町歯科.