入れ歯
/
ハル本町歯科 大阪
大阪府大阪市中央区久太郎町4-1-15
南御堂ビル 南館401
ご予約・お問い合わせ:06-6258-0770
トップページ
審美歯科
矯正歯科
インプラント
医院案内
院長紹介
アクセス
入れ歯
笑顔をなくさない入れ歯
〜オススメは精密入れ歯〜
『入れ歯はこんなものと諦めていませんか!』
『諦める必要は全くありません。断言します。入れ歯でも噛めます』
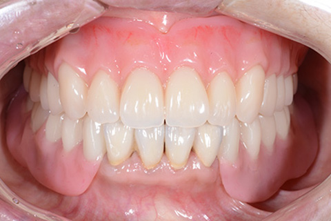
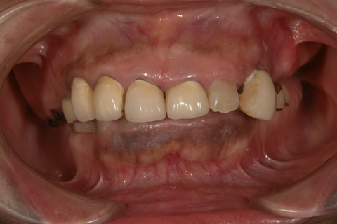
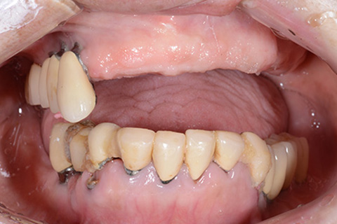
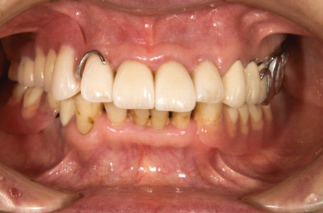
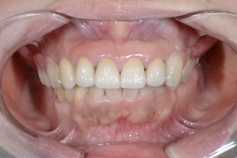
術前
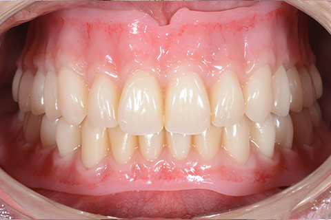
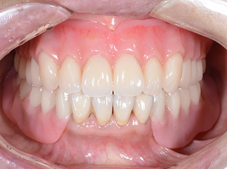
入れ歯での治療後
今のあなたの入れ歯はあなたの体の一部となっていますか?
入れ歯が合わない、違和感がある、噛むと痛い、噛めない。入れ歯に関して悩まれている方は大勢います。そして最終的に皆さん『入れ歯はこんなものか』と諦めてしまっていませんか?
でも、よく噛めて痛くない、見た目も良い入れ歯があるとしたらどうでしょうか。 私は多くの入れ歯で困ってきた大勢の患者様を治療してきました。そして皆さまに喜ばれています。
入れ歯でもここまで見た目も噛めるようになることがあることを皆様に知って頂きたい。
あなたにぴったりの入れ歯で快適に過ごして頂きたい。その思いを胸に全力で治療させて頂いております。
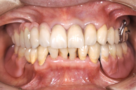
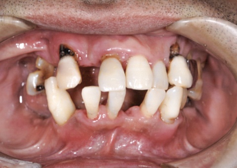
症例1
噛めないのと前歯にワイヤーがかかり審美的改善を希望され来院
前歯のワイヤーはなくなりしっかりと入れ歯で噛めるようになった症例
術前
入れ歯での治療後
症例2
全部の歯が歯周病と虫歯でボロボロで噛めないと来院。
噛める入れ歯を入れて欲しいと来院されました。
外れにくく吸着もあり、しっかり噛めるようになりました。
術前
入れ歯での治療後
症例3
奥歯がボロボロになって噛めなくなり前歯がグラグラしてきた。
当初インプントも考えておられましたが、やはり怖いとの事で、入れ歯で綺麗にそして噛める様に。
違和感なく使用し、喜んで頂き嬉しく思います。
術前
入れ歯での治療後
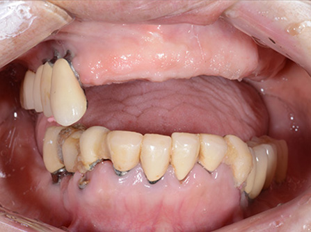
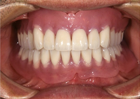
症例4
過去にインプラントしたが合わなくなってきたので入れ歯にしたい。残りの歯の状態も良くなかったのもあり先を見据えて歯を抜かないといけなくなったとしても、入れ歯を再度作り替えなくていい様に設計、計画しました。
治療後「うれしい!」と言っていただけてよかったです。
術前
入れ歯での治療後
症例5
過去に全く入れ歯を入れた経験がない患者様です。歯医者が怖くて一度も通院したことがないとの事でした。食事の満足度を向上させたかったのと人前に出るのに歯がないと困るとの事で入れ歯で治療を希望されました。入れ歯でとんかつを食べておられました。
歯医者が怖くて
一度も行った事がない
不安を取り除き
総入れ歯治療
噛む力の方向を読みコントロールする
他の歯科技術にくらべて入れ歯の作製は歯科医師の技量によってかなり出来上がりに差が生じる治療とも言えます。
当院の院長は歯科界で噛み合わせに強いスタディーグループSJCDで研鑽を積み、インストラクターなども行い指導的立場で歯科界に貢献しております。
有名な学会でも数多くの発表を行い、噛み合わせについてディスカッションを行っています。入れ歯の症例も多く発表も行なっております。
噛み合わせの指導風景
入れ歯症例の学会発表
入れ歯(義歯)のメリット&デメリット
メリット
1.
インプラントに比べて値段が安い
2.
手術をする必要がない
3.
取り外しできるので、洗浄できる清潔である
4.
作製する歯科医師によってしっかり噛むことができる
5.
ブリッジのように歯を削らなくて良い
デメリット
1.
違和感がある
2.
作製する歯科医師によって、出来不出来が大きい
このような悩みをお持ちの方はデンタルオフィスハルに一度お越しください!
・
入れ歯が違和感が大きくて使用できない
・
入れ歯が痛くてたまらない
・
入れ歯でしっかり噛めない
・
入れ歯がすぐに外れていまう
・
見た目が気になって笑えない
・
隙間があって食べ物がつまる
これらは入れ歯に一番多くあるお悩みです。これらを解決することが私の使命であり、得意とする分野でもあります。入れ歯に対してお悩みの方は一度来院されてみてはいかがでしょうか?
入れ歯の悩み相談
(1) どれくらいの期間通院しなければならないでしょうか?通院回数は?
(2) 入れ歯は徐々に合わなくなってしまうのでしょうか?
(3) インプラント治療しかないと言われましたが、入れ歯は無理でしょうか?
(4) 入れ歯が痛いのですが、どうすれば良いでしょうか?
(5) 入れ歯を入れると老けてみえてしまうのが心配です。
(6) 入れ歯だと話しにくいのでしょうか? 発音が心配です。
(7) 部分入れ歯で金属が見えるのが気になります。他に方法はないですか?
(8) 入れ歯でも美味しく食事ができますでしょうか?
(9) 歯ぐきがやせたら、また入れ歯は作り替えないといけないのでしょうか?
(10) 入れ歯の長持ちの秘訣は?
値段
床義歯
150,000円(税抜)
〜
650,000円(税抜)
治療用義歯
50,000円 (税抜)
咬合調整
500円/1本 (税抜)
5,000円/全体(税抜)
治療用義歯とは?
最終の義歯を装着するまでの治療用の義歯です。
※主なリスク、副作用:抜歯により一時的に噛みにくい状況が出る場合があります。
実際の入れ歯の吸着の様子
各種クレジットカードでの分割払いも承っています。
また、お手続き簡単で金利の安いデンタルローンもご利用いただけます。
※詳細はお問い合わせください
大阪市中央区
久太郎町4-1-15
南御堂ビル 南館401
ハル本町歯科 大阪
トップページ
医院案内・診療時間
院長紹介
アクセス
└
本町より
└
心斎橋より
└
お車でのアクセス
お問い合わせ
審美歯科
セラミック
差し歯
インプラント
入れ歯
自然な入れ歯
入れ歯の悩み相談
矯正歯科
歯を抜かない矯正
インビザライン
ホワイトニング
歯のクリーニング
ボトックス注射
ZONE PIECE
見た目が良い入れ歯が欲しい
睡眠時無呼吸症候群
入れ歯安定剤について
10年保証
フォトギャラリー
求人情報
└
歯科衛生士求人
└
歯科助手求人
└
受付求人
リンク
トップページ
医院案内・診療時間
院長紹介
アクセス
└
本町より
└
心斎橋より
└
お車でのアクセス
お問い合わせ
審美歯科
セラミック
差し歯
インプラント
入れ歯
自然な入れ歯
入れ歯の悩み相談
矯正歯科
歯を抜かない矯正
インビザライン
ホワイトニング
歯のクリーニング
ボトックス注射
ZONE PIECE
見た目が良い入れ歯が欲しい
睡眠時無呼吸症候群
入れ歯安定剤について
10年保証
フォトギャラリー
求人情報
└
歯科衛生士求人
└
歯科助手求人
└
受付求人
リンク
ハル本町歯科 大阪
大阪府大阪市中央区久太郎町4-1-15
南御堂ビル 南館401
ご予約・お問い合わせ:06-6258-0770
(C) ハル本町歯科.