ホワイトニング
〜 白い歯と共に心に輝きを 〜

当院のホワイトニングの特徴
デンタルオフィスハルでは、美にこだわる女性医師が考えた特別なホワイトニングメニューを数多く用意しております。あなただけのオーダーメイドの満足のいくホワイトニングを是非とも受けて頂きたく他店にはないメニューもあります。
米国で数々の賞を獲得したビヨンド社のホワイトニング用ライト”POLUS”を使用し、 照射光から出る有害な熱やUVをカットし、安全性をより高めました。日本人の歯に合った日本人のために開発されたホワイトニングシステムを是非とも体験してください。
 |
|
| 1. |
年間ホワイトニング(回数制限なし)メニューもあり、
満足いく白さを実現します |
| 2. |
OL、ビジネスマンに嬉しい本町駅徒歩1分のアクセス |
| 3. |
選べるアロマで日常を忘れさせる特別感 |
|
こんな方におすすめ
| ・ |
大切なデートの前にポイントアップ |
 |
・ |
人前に出る職業の方に |
| ・ |
歯の変色が気になってきた方に |
|
・ |
面接の前に |
| ・ |
結婚式など大切なイベントの前に |
|
・ |
アンチエイジングのために |
| ・ |
歯を削らず健康的な白い歯で好感度アップ |
|
|
|
女性歯科医師監修 & ホワイトニングサロン

副院長 加藤 典子
初めまして、デンタルオフィスハルに併設しておりますホワイトニングサロン代表の加藤典子と申します。皆さんはホワイトニングをしたことがありますでしょうか?
今回、初めてだという方、もしくは何度かしてきた方もいらっしゃると思います。当院ではそのどちらの方々にも満足して頂けるようなメニューを数多く用意しております。
ホワイト二ングを満足するまで何度でもできる年間ホワイトニングし放題のコースなどもあります。
またアロマにも拘っており心地よい香りを楽しみながらホワイトニングで綺麗な白い歯を手に入れてみませんか?
本町駅から徒歩1分なので、仕事帰りに寄られる方も大勢いらっしゃいます。皆様にお会いできる日を楽しみにしております。
ホワイトニングの流れ
Step1ご予約
当日でもご予約して頂けます。
ご予約フォームからのご予約は2日後からのご予約となります。
(フォームからご予約のお客様はサロンより折り返し予約確認のお電話をさせて頂きます)
Step2ご来店 〜本町駅1分心斎橋駅5分〜
デンタルオフィスハル ホワイトニング併設サロンは、御堂筋沿い南御堂ビルヂング4Fにございます。ご予約されたお時間の10分前にサロンへお越し下さい。

Step3カウンセリング 〜プロの診断で理想の白さへ〜
お客様のご希望や、ホワイトニングについてお話しさせて頂きます。

Step4トリートメント 〜クリーニング・色調測定・歯質ケアまで〜
お好みのアロマオイルを選んで頂き、個室空間にてトリートメントさせて頂きます。
日常から離れた特別感をゆっくりご堪能下さい。

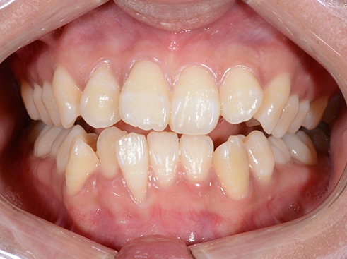
【オフィスホワイトニング】
| 治療前 |
治療後 |
 |
 |
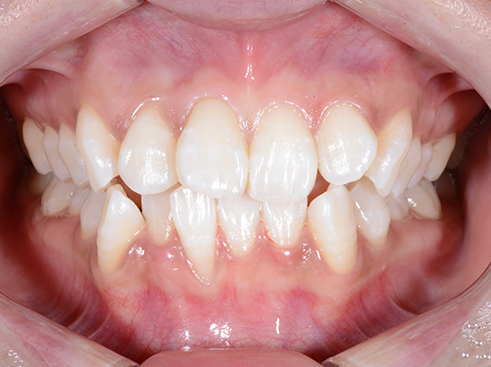
【ホームホワイトニング+セラミック治療】
| 治療前 |
治療後 |
 |
 |
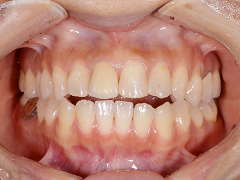
【ホームホワイトニング】
| 治療前 |
治療後 |
 |
 |
メニュー
トライアルホワイトニング (1day)コース
ホワイトニングが初めてで、不安な方に!
<内容>
プロフェッショナルクリーニング
上下前歯16本
照射7分 計2回
選べるアロマ |
9,800円(税抜) |
スペシャリティーホワイトニングコース(2day)
ご自身で行う手間を省きたい!アロマ香る部屋で寛ぎながら特別感を味わいたい方に!
<内容>
プロフェッショナルクリーニング
上下前歯16本
照射7分 計6回
選べるアロマ |
30,000円(税抜) |
ホームホワイトニングコース
ご自身で行う必要がありますが、満遍なく自然に白くしたい方に!追加ジェルで継続可能! <内容>
プロフェッショナルクリーニング
上下トレー作成
ホワイトニングジェル7日分
※追加ジェル1本につき3,000円 |
30,000円(税抜) |
スペシャリティーブライトニングコース
当クリニック、オススメのコース!早く白くし、長くその白さを維持したい方に!
<内容>
スペシャリティーホワイトニングとホームホワイトニングのダブルコース プロフェッショナルクリーニング
選べるアロマ
上下トレー作成 ホワイトニングジェル7日分
※追加ジェルは1本につき3,000円 |
55,000円(税抜) |
 |
各種クレジットカードでの分割払いも承っています。
また、お手続き簡単で金利の安いデンタルローンもご利用いただけます。
※詳細はお問い合わせください |
あなたにぴったりのホワイトニングを提案させて頂きますので、お気軽にご連絡ください。 | |