審美歯科
/
ハル本町歯科 大阪
大阪府大阪市中央区久太郎町4-1-15
南御堂ビル 南館401
ご予約・お問い合わせ:06-6258-0770
トップページ
審美歯科
矯正歯科
インプラント
医院案内
院長紹介
アクセス
審美歯科
『美しさと長持ちを兼ね備えた真の審美』
信頼と安心の審美治療
当院の審美歯科は、自然な美しさとしっかりと噛むことができる機能を兼ね備えています。
何かのご縁で私とあなたが出会ったことは偶然ではないはずです。一期一会を大切にし、親が子を思う気持ちであなたの笑顔を守りたく全力で治療させて頂きます。
デンタルオフィスハルの審美歯科セラミックのメリット
1.
天然の歯と見分けがつかない自然美と高い審美性
2.
しっかりと噛め、機能を追求した機能性
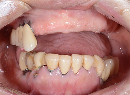
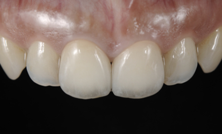
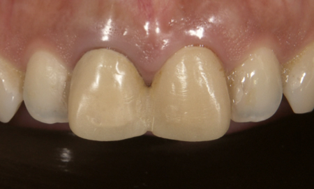
術前
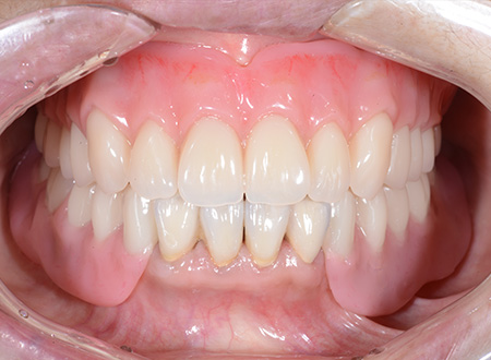
術後
治療内容
前歯の形態と色調の改善
治療期間・回数
1回
治療費用
ダイレクトボンディング1本 30,000円
主なリスク、副作用
噛み合わせによってできない場合があります。
デンタルオフィスハルのセラミック治療とは
当院では、現代歯科における最高レベルのセラミック治療を提供しております。
院長は歯科界で有名なスタディーグループSJCDのもとで研鑽を積み、前職では本多歯科医院で副院長を勤め、様々症例を経験してきました。今はインストラクターとして歯科界に指導的立場で貢献しております。
また学会等でも症例発表を数多くし、自己研鑽を積み、多くの歯科医師の見本となっています。
入れ歯でも審美と機能を諦めていませんか
入れ歯はワイヤーや金属が見えるし審美性がよくない、そして、噛めない痛いと諦めていませんか? 私はそうは思いません。それは、間違っています。私は断言できます。なぜなら、私が治療させて頂いた入れ歯の患者様は皆様喜んで頂いているからです。入れ歯は歯と歯肉との力のバランスのコントロールが非常に難しいものです。しかし、それらのコントロールをしっかりすることができれば、快適に使用することができます。
入れ歯でも審美と機能は得ることができるのです。
このような悩みをお持ちの方はデンタルオフィスハルに
一度お越しください!
.
差し歯の黒ずみが気になる
.
すきっ歯が気になる
.
神経のない歯の色が気になる
.
前歯の段差、傾きを治したい
.
前歯の歯茎の位置が左右違う
.
差し歯の歯茎が赤く腫れ、出血する
.
差し歯が黄ばんで治したい
.
差し歯がよく取れる
.
大きな笑顔で写真を撮りたい
.
銀歯を白くしたい
.
抜歯してインプラントと言われたが歯を残したい
.
他院で被せ物をしたが色が合ってない
.
歯が大きく欠けている
.
差し歯、被せ物が他の歯と色が合ってない
これらは口元の見た目に多くあるお悩みです。これらを解決することが私の使命であり、得意とする分野でもあります。口元の見た目に対してお悩みの方は一度来院されてみてはいかがでしょうか?
不安や悩みを解決できる審美歯科をもっと身近に感んじてほしい。そしてより自分の歯の健康意識を高めてもらい、将来を見据えて美しく、健康的な口元や歯を維持してもらいたい。いつまでも、美味しく食事ができ、大きく笑える一助になれればと思います。
審美歯科のメリット&デメリット
メリット
1.
天然の歯のような透明感
2.
歯茎に優しく、汚れにくい(ステインが付きにくい)
3.
虫歯になりにくい
4.
経験豊富なセラミストによる作製
デメリット
1.
高価である
2.
良いものを入れるためにセットするまでに時間がかかる場合がある
3.
噛み合わせによってかける(チッピング)場合がある
(当院ではジルコニアのフレームを使用しており強度の向上をしております。)
当院はセラミストと呼ばれる経験豊富な熟練した技工士が作製しておりますのでご安心ください。
治療内容
前歯2本をセラミック治療で綺麗にした症例
治療期間・回数
2ヶ月
治療費用
セラミック1本150,000円×2本
主なリスク、副作用
セラミックは硬いものを強く噛むとチッピング(かける)リスクがあります。当院では内部にジルコニアのフレームを使用することによって、強度の向上を図っております。
審美歯科でお困りのかた。一度デンタルオフィスに無料カウンセリングにこられてみませんか?あなたが求める審美歯科がデンタルオフィスハルにはあるかもしれません。
セラミック
セラミッククラウン
150,000円 (税抜)
ラミネートべニア
130,000円 (税抜)
セラミックインレー
65,000円 (税抜)
ラミネートベニアとは?
ご自身の歯を削るのを最小限にとどめ、審美性と機能性を回復します。
※主なリスク、副作用:噛み合わせによってできない場合があります。
各種クレジットカードでの分割払いも承っています。
また、お手続き簡単で金利の安いデンタルローンもご利用いただけます。
※詳細はお問い合わせください
セラミックと一緒にホワイトニングをするとお口全体が明るくなります。
当院のホワイトニングは多くのメニューがあり、あなたにぴったりとのホワイトニングに
出会えるはずです。
→詳しくはこちら
大阪市中央区
久太郎町4-1-15
南御堂ビル 南館401
ハル本町歯科 大阪
トップページ
医院案内・診療時間
院長紹介
アクセス
└
本町より
└
心斎橋より
└
お車でのアクセス
お問い合わせ
審美歯科
セラミック
差し歯
インプラント
入れ歯
自然な入れ歯
入れ歯の悩み相談
矯正歯科
歯を抜かない矯正
インビザライン
ホワイトニング
歯のクリーニング
ボトックス注射
ZONE PIECE
見た目が良い入れ歯が欲しい
睡眠時無呼吸症候群
入れ歯安定剤について
10年保証
フォトギャラリー
求人情報
└
歯科衛生士求人
└
歯科助手求人
└
受付求人
リンク
トップページ
医院案内・診療時間
院長紹介
アクセス
└
本町より
└
心斎橋より
└
お車でのアクセス
お問い合わせ
審美歯科
セラミック
差し歯
インプラント
入れ歯
自然な入れ歯
入れ歯の悩み相談
矯正歯科
歯を抜かない矯正
インビザライン
ホワイトニング
歯のクリーニング
ボトックス注射
ZONE PIECE
見た目が良い入れ歯が欲しい
睡眠時無呼吸症候群
入れ歯安定剤について
10年保証
フォトギャラリー
求人情報
└
歯科衛生士求人
└
歯科助手求人
└
受付求人
リンク
ハル本町歯科 大阪
大阪府大阪市中央区久太郎町4-1-15
南御堂ビル 南館401
ご予約・お問い合わせ:06-6258-0770
(C) ハル本町歯科.