セラミック
美しさ(審美)と噛めること(機能)

綺麗で自然な美しいセラミックが欲しい。
美しさと噛めることを兼ね備え、長持ちするセラミック。患者様が美味しくお食事を末長く楽しんで頂くための必須条件だと考えております。
セラミック治療の知識と技術を習得し、患者様の不安を取り除き安心して治療をうけて頂きたい。大きく笑顔で「うれしい!」と言って頂けるように精一杯治療させて頂きます。
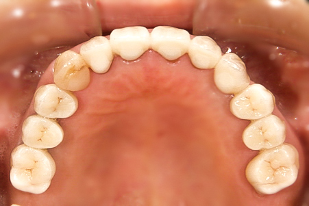
| 治療内容 | 前歯3本をセラミック治療で綺麗にした症例 |
| 治療期間・回数 | 2ヶ月 |
| 治療費用 | セラミック1本150,000円×3本 |
| 主なリスク、副作用 | セラミックは硬いものを強く噛むとチッピング(かける)リスクがあります。当院では内部にジルコニアのフレームを使用することによって、強度の向上を図っております。 |
期待と不安でいっぱいな患者様に寄り添います。
患者様は治療に来られるとき、期待と不安でいっぱいです。
綺麗になれるかな?痛くないかな?ちゃんとした治療を受けられるかな?先生は優しいかな?スタッフは?治療が終わったあとは長持ちするかな?
様々な、気持ちが入り乱れています。
私は常に患者様の立場に立ってもの事を考えるようにしてきました。
どうすれば、患者様が安心して治療うけられるのか?まずは、私とお話をしてみませんか?無料カウンセリングもございます。デンタルオフィスハルのスタッフとドクターはあなたの不安に寄り添い全力で治療させていただきます。
ノンメタル治療(メタルフリー)
お口の中の金属は酸化し、イオン化することによって唾液中に溶け出します。溶けだした金属イオンはアレルギー反応を引き起こします。そして様々な症状が発症する場合があります。例えば、手や足、顔などに湿疹やかぶれなどの皮膚症状として発現します。
最近では、デンタルデトックスといって、口腔内の金属をすべて除去し、金属アレルギーを避ける人が多くいます。肌荒れの原因が金属だった人も中にはいらっしゃいます。
セラミックは生体親和性もよく、お身体のためにもセラミック治療を選択されてみてはいかがでしょうか?
 |  |
| 治療後 | 治療前 |
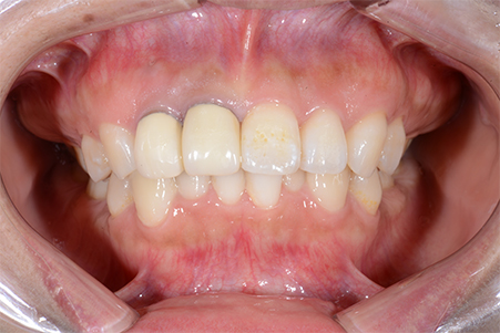
| 治療内容 | セラミックで審美生と機能性を改善した症例 |
| 治療期間・回数 | 10ヶ月 |
| 治療費用 | セラミック1本150,000円×11本 |
| 主なリスク、副作用 | 検査、診査診断を行わないと、セラミックの破折や脱離が起こることがあります。当院では内部にジルコニアのフレームを使用することによって、強度の向上を図っております。 |
 |  |
| 治療後 | 治療前 |
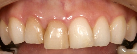
| 治療内容 | セラミックで歯の部分的な修復を行なった症例 |
| 治療期間・回数 | 2回 |
| 治療費用 | セラミックインレー3本65,000円×3本 |
| 主なリスク、副作用 | 奥歯で石など極端に硬いものを噛むとかけるリスクがあります。当院では、ジルコニアを使用し強度を図る場合もあります。 |
歯ぐきの黒ずみにも対応
どんな原因があるの?
一つの原因として、金属製を使用した差し歯が、歯ぐきや歯の根に錆びて溶け出すことがあります!
歯の根の治療とセラミックで対応した症例
 |
 |
| 治療前 | 治療後 |
| 治療内容 | かぶせ物の色調や形態、歯ぐきの黒ずみをセラミックで改善した症例 |
| 治療期間・回数 | 4ヶ月 |
| 治療費用 | セラミッククラウン1本150,000円×2本 |
| 主なリスク、副作用 | 検査、診査診断を行わないと、セラミックの破折や脱離が起こることがあります。当院では内部にジルコニアのフレームを使用することによって、強度の向上を図っております。 |
インストラクターとしてセラミックの技術を伝授
私は『セラミック治療』の技術を習得するために、日々、研鑽をつみ、教える立場までくることができました。生体に馴染じみ綺麗で美しく、そして長持ちするセラミックの作製のコツを教えています。
デンタルオフィスハルでは患者様の期待に必ずお応えすることができると自信を持って言えます。安心しておまかせください。
 |  |
| 指導風景 | 学会発表 |
メリット
| 1. | 天然の歯のような透明感 |
| 2. | 歯茎に優しく、汚れにくい(ステインが付きにくい) |
| 3. | 虫歯になりにくい |
| 4. | 経験豊富なセラミストによる作製 |
|
デメリット
| 1. | 高価である |
| 2. | 良いものを入れるためにセットするまでに時間がかかる場合がある |
| 3. |
噛み合わせによってかける(チッピング)場合がある
(当院ではジルコニアのフレームを使用しており強度の向上をしております。) |
|
当院はセラミストと呼ばれる経験豊富な熟練した技工士が作製しておりますのでご安心ください。
値段
| セラミッククラウン | 150,000円(税抜) |
| ラミネートベニア | 130,000円 (税抜) |
| セラミックインレー | 65,000円(税抜) |
ラミネートベニアとは?
ご自身の歯を削るのを最小限にとどめ、審美性と機能性を回復します。
※主なリスク、副作用:食いしばりが強い場合や咬合力が強い場合は、天然歯と同じく割れる場合があります。
 |
各種クレジットカードでの分割払いも承っています。
また、お手続き簡単で金利の安いデンタルローンもご利用いただけます。
※詳細はお問い合わせください |
アクセス
ハル本町歯科 大阪
大阪府大阪市中央区久太郎町4-1-15
南御堂ビル 南館401
ご予約・お問い合わせ:06-6258-0770
>アクセスの詳細はこちら
|
 |
[御堂筋線]
江坂−東三国−新大阪−西中島南方−中津−梅田−淀屋橋−本町−心斎橋−なんば−大国町−動物園前−天王寺−昭和町−西田辺−長居−あびこ−北花田−新金岡−なかもず
[四つ橋線]
西梅田−肥後橋−本町−四ツ橋−なんば−大国町−花園町−岸里−玉出−北加賀屋−住之江公園
[大阪メトロ中央線]
コスモスクエア−大阪港−朝潮橋−弁天町−九条−阿波座−本町−堺筋本町−谷町四丁目−森ノ宮−緑橋−深江橋−高井田−長田
[長堀鶴見緑地線]
大正−ドーム前千代崎−西長堀−西大橋−心斎橋−長堀橋−松屋町−谷町六丁目−玉造−森ノ宮−大阪ビジネスパーク−京橋−蒲生四丁目−今福鶴見−横堤−鶴見緑地−門真南 |
| |