差し歯
/
ハル本町歯科 大阪
大阪府大阪市中央区久太郎町4-1-15
南御堂ビル 南館401
ご予約・お問い合わせ:06-6258-0770
トップページ
審美歯科
矯正歯科
インプラント
医院案内
院長紹介
アクセス
差し歯
本当の差し歯をあなたに知って頂きたい
あなたの笑顔を輝かせます
大きく笑うときや写真のとき、口元が気になっていませんか?
心当たりがある人はこれからお話することを聞いて頂きたいと思います。
実はそういった方は大勢います。あなただけではありません。歯の色や形が気になって無意識にそうしてしまっているのです。
あなたの素敵な笑顔を隠さないでください。人生を輝かせるために 『良い差し歯』 をデンタルオフィスハルで選択されてはいかがでしょうか!
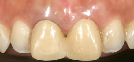
治療前
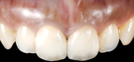
治療後
治療内容
前歯3本をセラミック治療で綺麗にした症例
治療期間・回数
2ヶ月
治療費用
セラミック1本150,000円×3本
主なリスク、副作用
セラミックは硬いものを強く噛むとチッピング(かける)リスクがあります。当院では内部にジルコニアのフレームを使用することによって、強度の向上を図っております。
(良い差し歯でも、やはりメリットとデメリットがあります。後述の説明をしっかりと読まれて納得されてからご連絡ください。)
真心の10年保証
当院の差し歯は、自然な美しさとしっかりと噛むことができる機能を兼ね備えています。何かのご縁で私とあなたが出会ったことは偶然ではないはずです。一期一会を大切にし、親が子を思う気持ちであなたの笑顔を守りたく全力で治療させて頂きます。
術前
術後
治療内容
前歯の形態と色調の改善
治療期間・回数
1回
治療費用
ダイレクトボンディング1本 30,000円
主なリスク、副作用
強い衝撃などにより欠けることがあります。
差し歯、被せ物のベストマテリアル
セラミックによる治療は近年、益々の発展を遂げ、強度と透明性を兼ね備えたものとなり、天然の歯のような被せ物が可能になりました。セラミックは生体親和性もよく歯肉に優しいのが特徴であり、ステインやプラークも付きにくく、被せ物のベストマテリアル(素材)となりました。
症例
前歯6本を差し歯にした症例
術前
術後
治療内容
セラミックで審美性と機能性の改善を行なった症例
治療期間・回数
5ヶ月
治療費用
セラミッククラウン1本150,000円×6本
主なリスク、副作用
セラミックは硬いものを強く噛むとチッピング(かける)リスクがあります。当院では、内部にジルコニアのフレームを使用することによって、強度の向上を図っております。
審美歯科のページへ
良い差し歯とは
患者様が考える『良い差し歯』と私が考える『良い差し歯』とはかなり違うときがあります。それはどう違うのでしょうか?
患者様が考える『良い差し歯』とは
1.
痛くない
2.
来院回数が少なく、治療が早く終わる
3.
見た目が良く噛める
私(歯科医師)が考える『良い差し歯』とは
1.
歯茎に優しく生体に馴染んでいる
2.
見た目はもちろん機能も兼ね備え、よく噛める
3.
外れずに、綺麗なまま長持ちする
この違いがおわかりになりますでしょうか?
私が考える『良い差し歯』の条件は目先のメリットではなく、末長く患者様に喜んでいただきたい、未来への投資としての差し歯(セラミック)であって欲しいのです。本当の良い差し歯は生体に馴染み美しいことはもちろんのこと、よく噛めて長持ちします。
症例
前歯二本を当院の差し歯(セラミック)に変えた症例
術前
術後
治療内容
前歯2本をセラミック治療で綺麗にした症例
治療期間・回数
2ヶ月
治療費用
セラミッククラウン1本150,000円×2本
主なリスク、副作用
セラミックは硬いものを強く噛むとチッピング(かける)リスクがあります。当院では、内部にジルコニアのフレームを使用することによって、強度の向上を図っております。
差し歯の技術は日々、アップデート
私は『良い差し歯』の技術を習得するために、日々、研鑽をつみ、教える立場までくることができました。患者様に『良い差し歯』を提供することに生きがいを感じております。
デンタルオフィスハルでは患者様の期待に必ずお応えすることができます。
指導風景
学会発表
院長紹介のページへ
差し歯のメリット・デメリット
メリット
1.
天然の歯のような透明感
2.
歯茎に優しく、汚れにくい(ステインが付きにくい)
3.
虫歯になりにくい
4.
経験豊富なセラミストによる作製
デメリット
1.
高価である
2.
良いものを入れるためにセットするまでに時間がかかる場合がある
3.
噛み合わせによってかける(チッピング)場合がある
当院はセラミストと呼ばれる経験豊富な熟練した技工士が作製しておりますのでご安心ください。
差し歯費用
セラミッククラウン
150,000円 (税抜)
ラミネートベニア
130,000円 (税抜)
ラミネートベニアとは?
ご自身の歯を削るのを最小限にとどめ、審美性と機能性を回復します。
※主なリスク、副作用:食いしばりが強い場合や咬合力が強い場合は、天然歯と同じく割れる場合があります。
各種クレジットカードでの分割払いも承っています。
また、お手続き簡単で金利の安いデンタルローンもご利用いただけます。
※詳細はお問い合わせください
大阪市中央区
久太郎町4-1-15
南御堂ビル 南館401
ハル本町歯科 大阪
トップページ
医院案内・診療時間
院長紹介
アクセス
└
本町より
└
心斎橋より
└
お車でのアクセス
お問い合わせ
審美歯科
セラミック
差し歯
インプラント
入れ歯
自然な入れ歯
入れ歯の悩み相談
矯正歯科
歯を抜かない矯正
インビザライン
ホワイトニング
歯のクリーニング
ボトックス注射
ZONE PIECE
見た目が良い入れ歯が欲しい
睡眠時無呼吸症候群
入れ歯安定剤について
10年保証
フォトギャラリー
求人情報
└
歯科衛生士求人
└
歯科助手求人
└
受付求人
リンク
トップページ
医院案内・診療時間
院長紹介
アクセス
└
本町より
└
心斎橋より
└
お車でのアクセス
お問い合わせ
審美歯科
セラミック
差し歯
インプラント
入れ歯
自然な入れ歯
入れ歯の悩み相談
矯正歯科
歯を抜かない矯正
インビザライン
ホワイトニング
歯のクリーニング
ボトックス注射
ZONE PIECE
見た目が良い入れ歯が欲しい
睡眠時無呼吸症候群
入れ歯安定剤について
10年保証
フォトギャラリー
求人情報
└
歯科衛生士求人
└
歯科助手求人
└
受付求人
リンク
ハル本町歯科 大阪
大阪府大阪市中央区久太郎町4-1-15
南御堂ビル 南館401
ご予約・お問い合わせ:06-6258-0770
(C) ハル本町歯科.