自然な入れ歯
/
ハル本町歯科 大阪
大阪府大阪市中央区久太郎町4-1-15
南御堂ビル 南館401
ご予約・お問い合わせ:06-6258-0770
トップページ
審美歯科
矯正歯科
インプラント
医院案内
院長紹介
アクセス
自然な入れ歯
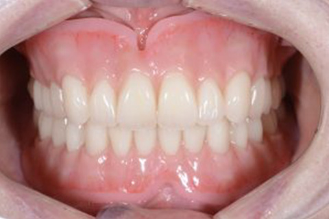
どこが入れ歯かわかりますか?
(このページの最後に正解があります)
自然な入れ歯を知っている人はごく少数です。見た目が自然、噛み心地が自然、そして噛める。『入れ歯はこんなものだから』と他院で言われて我慢していた患者様で当院に来られ治療されている方々は多くおられます。
それでは何が違うのでしょうか。これから、その理由を説明していきましょう。
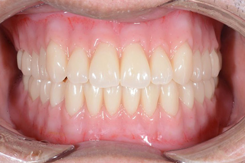
自然な入れ歯の理由@ 見た目
入れ歯の一番の悩みとして『見た目が悪い』。中でも前歯のワイヤーが嫌な方が多くおられます。トップの歯の写真を見てください。奥歯に少し金属が見られますが、唇で隠れるところなので、患者様は全く気にならずに、お友達とお食事や会話を楽しんでおられます。
この見た目が自然な入れ歯を作製するには、歯科医師だけでなく、技工士の腕も重要になってきます。残った歯の差し歯を利用し、力の方向や噛む力をコントロールすることによって可能になってきます。
デンタルオフィスハルでは噛む力のコントロールで日本でも有名な技工士とチームを組んでおり、自然な入れ歯の作製が可能となっております。
自然な入れ歯の理由A 歯と歯茎の色
自然な入れ歯に重要なことに、人工の歯の色と歯茎の色を入れ歯でどこまで再現できるかが重要になってきます。ここは技工士の腕が非常に関係してきます。いうなれば、高度な入れ歯の作製は職人技術といわれるほど難しく上記のような入れ歯を作製できる技工士はそんなにいません。
自然な入れ歯の理由B 噛める(噛む力のコントロール)
入れ歯が痛くて噛めない人は多くいます。入れ歯の難しいところは、2つの力をうける部分、すなわち、歯と歯茎が別々に存在するからです。その2つの力をうけたときの凹む量が異なるので、その力をどう分散するかを考慮し入れ歯が安定し機能するかを考えなくてはいけません。
当院の院長は、咬合を得意とする講習会グループSJCDで研鑽を積み、インストラクターでもあります。また、学会等でも発表をしています。
噛み合わせのスペシャリストとして、皆様を笑顔にする自然な入れ歯を作製することができます。 この力のコントロールは私が最も得意とする分野でもあります。
院長紹介のページへ
若手の歯科医師の先生への指導風景
学会発表
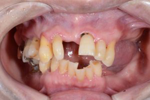
症例1
歯がグラグラで噛めない。自然な入れ歯で綺麗にしたい。という主訴でご来院頂いた患者様に対して特殊プラスチックを使用した総入れ歯(入れ歯)とコーヌスクローネ義歯(入れ歯)の症例
術前
入れ歯での治療後
症例2
歯がグラグラで噛めない。骨が少なくてインプラントできない。という主訴でご来院頂いた患者様に対して「特殊プラスティック義歯」を使用した入れ歯の症例
術前
入れ歯での治療後
症例3
過去に全く入れ歯を入れた経験がない患者様です。子供の頃、麻酔せずに治療したのがトラウマで、それ以来歯医者に行ってないとの事でした。食事の満足度を向上させたかったのと人前に出るのに歯がないと困るとの事で入れ歯で治療を希望されました。
術前
入れ歯での治療後
デンタルオフィスハルの入れ歯の利点・欠点
利点
1.
インプラントのような手術が怖い方もうけられる治療
2.
見た目も綺麗でかなり自然な仕上がりで周りからみても気づかれない
3.
保険の入れ歯とは違いしっかりと噛め、安定が良い
4.
取り外せるので清潔である
欠点
1.
残った歯も悪いところはしっかりと治療する必要がある
2.
歯茎は誰しも加齢変化に伴い痩せるので、定期的な調整が必要である
3.
精密な治療なので時間がかかる
4.
自然な入れ歯なので高価である
入れ歯のページへ
値段
床義歯
150,000円 (税抜)
〜
650,000円 (税抜)
治療用義歯
50,000円 (税抜)
咬合調整
500円/1本 (税抜)
5,000円/全体 (税抜)
治療用義歯とは?
最終の義歯を装着するまでの治療用の義歯です。
※主なリスク、副作用:抜歯により一時的に噛みにくい状況が出る場合があります。
実際の入れ歯の吸着の様子
各種クレジットカードでの分割払いも承っています。
また、お手続き簡単で金利の安いデンタルローンもご利用いただけます。
※詳細はお問い合わせください
いかがだったでしょうか? 当院の入れ歯のこだわりが少しでもご理解していただけたでしょうか? 入れ歯で笑顔をなくされている方は大勢いらっしゃいます。それは非常に人生にとってもったいないことです。 笑顔を無くさない自然な入れ歯があることを知ってください。そしてもし、ご興味がり、話だけでも聞いてみたい方がいらっしゃいましたら、まずはご連絡ください。
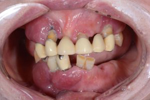
最後にこのページの一番初めにのっていた方の治療前の写真をのせておきます。治療前とは比べものにならないぐらい自然な入れ歯が入っていることがお分かりになられると思います。
トップの写真の治療前の状態
あなたの幸せに貢献できるような自然な入れ歯を作製できればと思います。
入れ歯の悩み相談
(1) どれくらいの期間通院しなければならないでしょうか?通院回数は?
(2) 入れ歯は徐々に合わなくなってしまうのでしょうか?
(3) インプラント治療しかないと言われましたが、入れ歯は無理でしょうか?
(4) 入れ歯が痛いのですが、どうすれば良いでしょうか?
(5) 入れ歯を入れると老けてみえてしまうのが心配です。
(6) 入れ歯だと話しにくいのでしょうか? 発音が心配です。
(7) 部分入れ歯で金属が見えるのが気になります。他に方法はないですか?
(8) 入れ歯でも美味しく食事ができますでしょうか?
(9) 歯ぐきがやせたら、また入れ歯は作り替えないといけないのでしょうか?
(10) 入れ歯の長持ちの秘訣は?
大阪市中央区
久太郎町4-1-15
南御堂ビル 南館401
ハル本町歯科 大阪
トップページ
医院案内・診療時間
院長紹介
アクセス
└
本町より
└
心斎橋より
└
お車でのアクセス
お問い合わせ
審美歯科
セラミック
差し歯
インプラント
入れ歯
自然な入れ歯
入れ歯の悩み相談
矯正歯科
歯を抜かない矯正
インビザライン
ホワイトニング
歯のクリーニング
ボトックス注射
ZONE PIECE
見た目が良い入れ歯が欲しい
睡眠時無呼吸症候群
入れ歯安定剤について
10年保証
フォトギャラリー
求人情報
└
歯科衛生士求人
└
歯科助手求人
└
受付求人
リンク
トップページ
医院案内・診療時間
院長紹介
アクセス
└
本町より
└
心斎橋より
└
お車でのアクセス
お問い合わせ
審美歯科
セラミック
差し歯
インプラント
入れ歯
自然な入れ歯
入れ歯の悩み相談
矯正歯科
歯を抜かない矯正
インビザライン
ホワイトニング
歯のクリーニング
ボトックス注射
ZONE PIECE
見た目が良い入れ歯が欲しい
睡眠時無呼吸症候群
入れ歯安定剤について
10年保証
フォトギャラリー
求人情報
└
歯科衛生士求人
└
歯科助手求人
└
受付求人
リンク
ハル本町歯科 大阪
大阪府大阪市中央区久太郎町4-1-15
南御堂ビル 南館401
ご予約・お問い合わせ:06-6258-0770
(C) ハル本町歯科.