ハル本町歯科 大阪





自分の写真をとるのがイヤな人は必見!
矯正をしたいけど見た目も気になるし、歯も抜かないといけないのかな?
そのお悩み、カウンセリングを重視する当院で一度相談してみませんか?







見た目が気にならないオフィス街にぴったりのファッショナブルな矯正治療。
透明で違和感も少なく仕事中も気になりません。この動画の女性も仕事中でも輝いていませんか?

大人になって矯正をためらう理由の1つに見た目の問題があります。しかし、それはもう昔の話です。矯正の見た目の問題は解決しました。カスタムメイド型マウスピース矯正『インビザライン』 が矯正治療の悩みを解決してくれました。




こんな方におすすめ


  1. ワイヤー矯正が今まで嫌で矯正してこなかった方
    見た目が気になるワイヤー矯正は、お仕事されている方や思春期の多感な時期には、コンプレックスになってしまう場合があります。

  2. ワイヤー矯正が今まで嫌で矯正してこなかった方


  3. 好きなものをいつでも食べたい
    外出先での食事や、学校でもいつでもどこまで取り外せます。

  4. 好きなものをいつでも食べたい


  5. できるだけ通院回数を減らしたいかた
    しっかりとインビザラインを装着できる方は人にもよりますが、2ヶ月に一回の来院になします。

  6. できるだけ通院回数を減らしたいかた


  7. 痛みの少ない治療を受けたい
    仕事や勉強に集中したい人には極力痛みのすくない矯正治療となります。

  8. 痛みの少ない治療を受けたい






歯並びのシミュレーション、イメージを具体的にみたい






矯正中は好きな食べ物を我慢しなければならないと思っていませんか?
マウスピース矯正なら、いつもと変わらず、好きな食べ物を楽しめます。







このマウスピースがあなたの笑顔と未来を変える





米国アライン・テクノロジー社が、インビザラインを開発して20年という月日が経ちました。透明に近く目立ちにくい、取り外しが可能な新しいアプローチの歯科矯正インビザライン・システムは、現在、世界100カ国以上の国々で提供され、これまでに900万人を超える患者様が治療を受けられています(2021年)


前歯だけの矯正(プチ矯正)


全部の歯ではなく、気になる歯だけキレイにしたい!
そのようなご要望を受け
前歯だけ、すきっ歯だけ、出っ歯だけ、歯のねじれだけ
歯の段差だけ、歯の傾きだけ
上と下の歯開いているとこだけの治療を
価格・期間」で行っています。



気になる前歯だけの矯正とは??


文字通り、前歯など一部の歯のみ部分的に行う矯正です。
症例によりどの部分を矯正するか変わってきますが、1本だけ〜上だけ、下だけ、上下両方などパターンがいくつもあります。
奥歯の噛み合わせは変えずに、前歯だけを動かしていきますので、全体矯正よりも短期間、低価格で治療が行えるのが特徴です。
ポイントは、動かしたい歯のみを動かすことです。
当たり前じゃないの?と思われるかもしれませんが、歯を動かす時は、反作用で周りの歯にも力がかかります。
反作用で、動かしたくない歯が動いちゃった。なんて事にならない様に治療することが大切です。口元のコンプレックス、実はちょっとしたことで劇的に改善します。全体矯正に比べて、身近で、お手頃な方法です。


前歯だけの部分矯正に対する思い

矯正治療と聞くとハードルが高いと思われるかもしれません。
不安や悩みを解決できる矯正治療をもっと身近に感じてほしい。そして、より自分の歯の健康意識を高めてもらい、将来を見据えて美しく、健康的な口元や歯を維持してもらいたい。
いつまでも、美味しく食事ができて、大きく笑える一助になれればと思います。


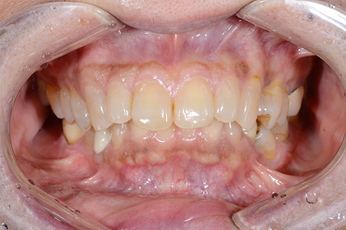
<前歯が引っこんでるのを治療した症例>

治療前 治療後
【前歯が引っこんでるのを治療した症例】 【前歯が引っこんでるのを治療した症例】

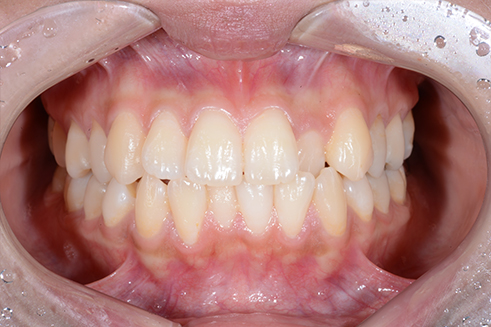
<すきっ歯を治療した症例>

治療前 治療後
【すきっ歯を治療した症例】 【すきっ歯を治療した症例】



当院が選ばれる理由

  1. レントゲン写真、お口の中の写真も含めた無料カウンセリング

  2. レントゲン写真、お口の中の写真も含めた無料カウンセリング


  3. かみ合わせを考慮した歯列矯正

  4. かみ合わせを考慮した歯列矯正


  5. 矯正と被せ物が1つの医院で治療できる

  6. 矯正と被せ物が1つの医院で治療できる


  7. プライバシーや感染に配慮した個室診療

  8. プライバシーや感染に配慮した個室診療






デンタルオフィスハルの院長


当院の院長は歯科界で有名なスタディーグループSJCDのもとで研鑽を積み、前職では本多歯科医院で副院長を勤め、様々症例を経験してきました。今はインストラクターとして歯科界に指導的立場で貢献しております。噛み合わせのスペシャリストであります。安心しておまかせください。




また学会等でも症例発表を数多くし、自己研鑽を積み、多くの歯科医師の見本となっています。
院長の紹介ページへ





治療の流れ


治療の流れ
  • 無料カウンセリング(1時間程)
  • 精密検査
  • 治療計画カウンセリング(1時間程)
  • 矯正治療スタート(シミュレーション確認)
    通院目安は、1〜3ヶ月ごとの来院
  • 保定、メインテナンス



メリット
  1. 薄くて透明なので周りの人に気付かれない
  2. 取り外せるの歯ブラシがしやすく虫歯になりにくい
  3. 話しやすい
  4. 食事のときに外せるので食事制限がない
  5. 金属アレルギーの心配がない

デメリット
  1. しっかりと装着しないと並ばない
  2. 歯の動きが悪い場合、途中でワイヤーをつける時が稀にある
  3. 症例によってできない場合がある。(ワイヤー矯正になる場合がございます。)
  4. 完成物薬機法対象外の矯正装置であり、承認医薬品を対象とする医薬品副作用被害救済制度の対象外となる場合があります。





当院の患者様は大人の矯正の方がほとんどです。



もしお悩みや不安があるのであれば一度いらして下さい。
同じお悩みを抱えた人たちがたくさんいらしてます。



もしお悩みや不安があるのであれば一度いらして下さい





費用(自費診療)

初回カウンセリング無料(レントゲン写真、お口の中の写真込み)

精密検査 25,000円(税別)(診断料込み)
インビザライン全体 750,000円(税別)
部分矯正
200,000〜450,000円(税別)
保定装置
50,000円(税別)
調整.管理料(月1回のみ) 3,000円(税別)


各種クレジットカードでの分割払いも承っています
各種クレジットカードでの分割払いも承っています。
また、お手続き簡単で金利の安いデンタルローンもご利用いただけます。
※詳細はお問い合わせください



当院の矯正患者様は、ほとんどの方がマウスピース矯正(インビザライン )を求めてこられます。噛み合わせはもちろん、横顔や口元を審美的に美しく治療でき、当院は虫歯治療から被せ物までトータルに治療ができます。安心してお任せください。まずは、あなたのお悩みをお聞かせください。一緒にその悩みを解決していきましょう。



一緒にその悩みを解決していきましょう