矯正歯科
/
ハル本町歯科 大阪
大阪府大阪市中央区久太郎町4-1-15
南御堂ビル 南館401
ご予約・お問い合わせ:06-6258-0770
トップページ
審美歯科
矯正歯科
インプラント
医院案内
院長紹介
アクセス
矯正歯科(歯の矯正治療)
スマホで自分を撮るのが好きになりました
写真を撮るとき、思い切り笑えていますか?口元を隠していませんか? 子供の頃から 口元にコンプレックスがあり、上手に笑えない方が大勢います。 あなたの素敵な笑顔を隠さないでください。
口元は顔の3分の1を占め、素敵な笑顔は顔全体のイメージを変えます。口元からあなたの人生を輝かせましょう。矯正はそれが可能な治療です。 矯正治療によってあなたの幸せのお手伝いができればこれ以上の幸せはありません。
カスタムメイド型マウスピース矯正
インビザライン
ワイヤー矯正
(ホワイトワイヤーを使用)
インビザラインとはどんなもの?
インビザラインはアメリカのアラインテクノロジー社が開発したマウスピース型の矯正装置です。これまでに全世界で700万人(2019年6月現在)を超える患者様が治療を受けられており、その数は年々増加しています。今までのワイヤー矯正では難しかった、取り外しができ、見た目が良いなどメリットは多くあります。また痛みも少ないとも言われています。
その人気はアラインテクノロジー社の株価がうなぎ登りなのを見てもわかると思います。あなたの生活スタイルにあった賢い大人の選択、インビザラインを選択されてみてはいかがですか?
詳しくはインビザラインのページへ
ガタガタ歯並び
大人になっても気になってしまうガタガタ歯並び。治せるなら治したい。
でも。。。その一歩を踏み出せない方が数多くいらっしゃいます。
大人になってから矯正器具が見えるのが恥ずかしいという方も沢山いらっしゃいます。
当院では透明なマウスピース矯正、ワイヤー矯正、セラミックによる審美治療などがあります。マウスピース矯正は、周りの人にほとんど気付かれません。
歯の矯正やセラミックによる治療には見た目ももちろんのこと他にも沢山のメリットがあります。
治療後
治療前
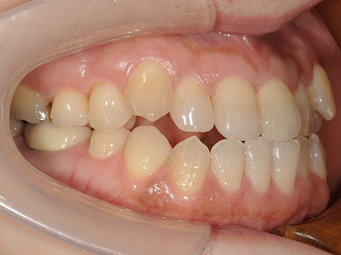
『出っ歯』や『受け口』、『すきっ歯』だって矯正治療で治せます
出っ歯や受け口は見た目や噛み合わせだけでなく、将来の歯の寿命にも関係してきます。
良い噛み合わせはあなたの歯を守ります。矯正は噛み合わせのバランスや力のコントロールを整え歯を長持ちさせる治療でもあります。
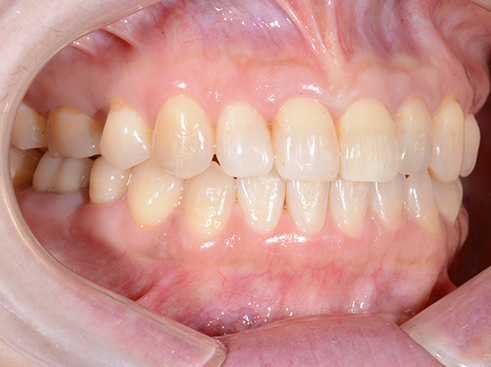
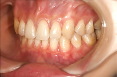
<受け口を治療した症例>
治療前
治療後
治療前
治療後
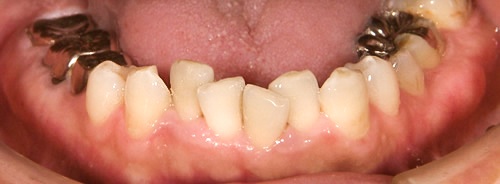
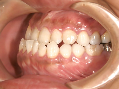
<すきっ歯を治療した症例>
治療前
治療後
治療前
治療後
治療前
治療後
噛み合わせのスペシャリストとして
当院の院長は噛み合わせのスペシャリストでありインストラクターとして歯科界に貢献しております。歯科界で有名なスタディーグループSJCDのもとで研鑽を積み、前職では本多歯科医院で副院長を勤め、 SJCD創始者の本多先生に師事し、様々な症例を経験してきました。今はインストラクターとして歯科界に指導的立場で貢献しております。
院長の紹介ページへ
メリット
1.
顔の印象がガラッと変わり素敵になる
2.
口元が綺麗になり笑顔が輝きだします
3.
歯ブラシがしやすくお口の中が清潔になる
4.
噛み合わせが良くなり、食べやすくなる
デメリット
1.
時間がかかる
2.
費用がかかる
費用
全顎矯正
750,000円(税抜)
部分矯正
30,000円/1本(税抜)
〜
50,000円/1本(税抜)
インビザライン
200,000円(税抜)
〜
750,000円(税抜)
調整料(月1回)
3,000円(税抜)
〜
5,000円(税抜)
矯正用ミニインプラント
30,000円(税抜)
後戻り防止装置(リテーナー)
50,000円(税抜)
各種クレジットカードでの分割払いも承っています。
また、お手続き簡単で金利の安いデンタルローンもご利用いただけます。
※詳細はお問い合わせください
大阪市中央区
久太郎町4-1-15
南御堂ビル 南館401
ハル本町歯科 大阪
トップページ
医院案内・診療時間
院長紹介
アクセス
└
本町より
└
心斎橋より
└
お車でのアクセス
お問い合わせ
審美歯科
セラミック
差し歯
インプラント
入れ歯
自然な入れ歯
入れ歯の悩み相談
矯正歯科
歯を抜かない矯正
インビザライン
ホワイトニング
歯のクリーニング
ボトックス注射
ZONE PIECE
見た目が良い入れ歯が欲しい
睡眠時無呼吸症候群
入れ歯安定剤について
10年保証
フォトギャラリー
求人情報
└
歯科衛生士求人
└
歯科助手求人
└
受付求人
リンク
トップページ
医院案内・診療時間
院長紹介
アクセス
└
本町より
└
心斎橋より
└
お車でのアクセス
お問い合わせ
審美歯科
セラミック
差し歯
インプラント
入れ歯
自然な入れ歯
入れ歯の悩み相談
矯正歯科
歯を抜かない矯正
インビザライン
ホワイトニング
歯のクリーニング
ボトックス注射
ZONE PIECE
見た目が良い入れ歯が欲しい
睡眠時無呼吸症候群
入れ歯安定剤について
10年保証
フォトギャラリー
求人情報
└
歯科衛生士求人
└
歯科助手求人
└
受付求人
リンク
ハル本町歯科 大阪
大阪府大阪市中央区久太郎町4-1-15
南御堂ビル 南館401
ご予約・お問い合わせ:06-6258-0770
(C) ハル本町歯科.